“It’s not every day that your six-year-old saves your life,” Carroll County mother-of-two Kylee Hooten wrote on December 10.
Earlier that morning, Hooten woke up feeling “off”, and her life took a drastic turn just before the holidays.
Moments later, she had a seizure at home. During the attack, she says she must have woken her daughter.
“All I can remember when I was coming to was hearing her saying, ‘Mommy, mommy, wake up,’” Hooten said. “I could just hear her so I kept telling myself, ‘You have to wake up, you have to get up, you have to fight!’ and that’s what I did.”
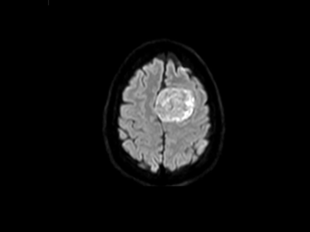
Her mother, Laura Hooten, rushed her to Baptist Hospital, where a CT scan revealed a mass on the frontal lobe of her brain.
From there, medics transferred her by ambulance to Vanderbilt Medical Center.
“It’s a scary thing to go from thinking you are healthy to finding out you have a brain tumor,” she said.

Kylee expressed a range of emotions.
“I’ve cried, I laughed, I’ve prayed, I’ve asked God why… but His plan is bigger than mine, and I know He has me in His hands,” she said.
Kylee initially underwent a procedure to cauterize the tumor to reduce bleeding.
Facing the uncertainty with humor, she gave the tumor a name.
“If you know me and my humor, you know I’m not going to let ‘Phyllis’ beat me,” she wrote. “Yes, I’ve named my tumor.”
Four days later, doctors performed a craniotomy to remove “Phyllis”.
Days later, she explained that the tumor was thankfully benign and non cancerous. It was a grade one meningioma, and the final measurement was 7 cm.

“I never in a million years thought that I would go through what I went through,” Kylee wrote. “Still going to be good and bad days, but I won’t let the bad days win. I feel like God has given me a second chance.”
Doctors will continue monitoring her with scans and MRIs, and she is unable to work or drive until cleared.
“I’m just happy to be here for my babies and to have a second chance at life,” she said. “God is so, so, so good.”
A GoFundMe has been established to help support Kylee and her children as she continues her recovery. Click here to visit her GoFundMe. For those who’d rather contribute directly to her, Kylee’s Venmo account is @Kylee-Hooten.
